• 6 enero, 2021

Descubren nuevos efectos del Covid-19 en el corazón

Descubren nuevos efectos del Covid-19 en el corazón

Estudio de Mayo Clinc descubre frecuencia de coágulos sanguíneos en el corazón de pacientes con COVID-19.

Los investigadores continúan estudiando los efectos del COVID-19 sobre el corazón, incluida la miocarditis, que es una inflamación concentrada en el músculo cardíaco. Los nuevos estudios de Mayo Clinic plantean que en muchos casos de COVID-19, la miocarditis podría no ser la responsable de los daños cardíacos.

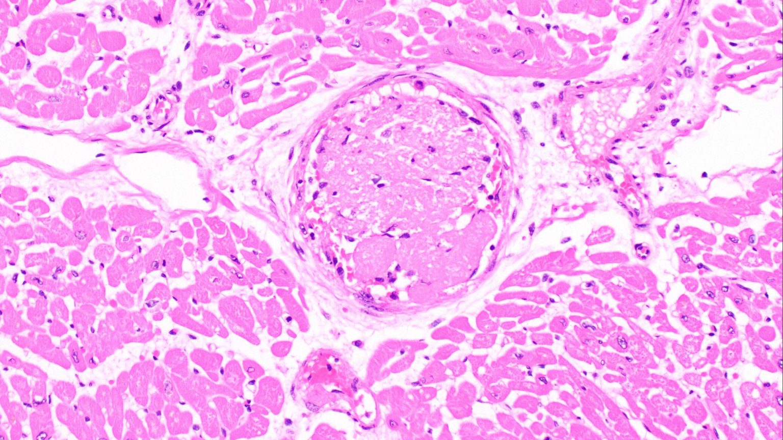
Un estudio pequeño pero detallado llevó a cabo evaluaciones post mortem en el tejido cardíaco de 15 pacientes con COVID-19, incluidos los primeros hallazgos cardíacos post mortem de tres pacientes que habían superado la infección. Se comparó a estos pacientes con un grupo de control de pacientes con gripe y otro grupo de control de pacientes que no tuvieron ninguna infección viral.

En los pacientes con COVID-19, el 33%  de los casos (activos y superados) mostró miocarditis en, al menos, alguna medida; pero el estudio no descubrió evidencia contundente del SARS-CoV-2, o virus que causa el COVID-19, en el tejido cardíaco de los pacientes estudiados.

No obstante, el estudio reveló otro asunto importante en el corazón de todos los pacientes con COVID-19 que participaron en el estudio.

El COVID-19 parece ejercer un impacto sobre los vasos sanguíneos pequeños del corazón.

“El estudio mostró que, a diferencia de otros virus, el COVID-19 parece ejercer un impacto sobre los vasos sanguíneos pequeños del corazón”, señala la Dra. Melanie Bois, patóloga cardiovascular de Mayo Clinic y primera autora del estudio.

Las pruebas con tinción química revelaron coágulos en los vasos sanguíneos pequeños del tejido cardíaco. Estos coágulos sanguíneos fibrosos pueden aún estar presentes incluso después de eliminado el virus, por lo que es factible que se proponga una terapia anticoagulante como tratamiento de los pacientes con COVID-19, posiblemente después de eliminado el virus.

El estudio también cita otras afecciones cardíacas subyacentes que son conocidas por su relación con peores resultados en pacientes con COVID-19. Cabe mencionar que en más del 26% de los pacientes con COVID-19 estudiados se descubrió amiloidosis cardíaca, que consiste en una acumulación cohesiva de proteínas anormales que interfiere con la capacidad de funcionamiento del corazón.

Esta tasa es muy superior a la ocurrencia del 3,7%  de amiloidosis cardíaca que normalmente ha visto Mayo Clinic en las autopsias de pacientes. El descubrimiento plantea que esta afección cardíaca subyacente puede conllevar mayor riesgo de muerte por COVID-19.

“El presente estudio resalta la importancia de realizar autopsias para entender cómo afecta la enfermedad al cuerpo y, de esa manera, permitir explorar tratamientos nuevos y potencialmente más eficaces”, declara el Dr. Joseph Maleszewski, patólogo cardiovascular de Mayo Clinic y autor experto del estudio.

Etiquetas: corazón / efectos del covid-19 / estudio de Mayo Clinic / Mayo Clinic

Recomendaciones sobre este tema

El tiempo es clave: recomendaciones para mujeres con adelgazamiento capilar

El tiempo es clave: recomendaciones para mujeres con adelgazamiento capilar

Alrededor del 55% de las mujeres experimentan algún grado de pérdida de cabello antes de los 70 años.
IA, implantes y dispositivos portátiles decodifican ritmos cerebrales y pronostican convulsiones

IA, implantes y dispositivos portátiles decodifican ritmos cerebrales y pronostican convulsiones

Epilepsia es un trastorno neurológico que provoca crisis recurrentes, descargas súbitas de actividad eléctrica en el cerebro que…
Consejos nutricionales durante el tratamiento del cáncer

Consejos nutricionales durante el tratamiento del cáncer

El cáncer y el tratamiento contra el cáncer pueden hacer que pierda el apetito o que coma más…