• 15 julio, 2019

Ortodoncia invisible permite tener resultados en menos tiempo

Ortodoncia invisible permite tener resultados en menos tiempo

Tratamiento es 100% efectivo y se planifica de forma computarizada al crear una imagen virtual de la boca para mostrar previo el movimiento de los dientes que se realizará

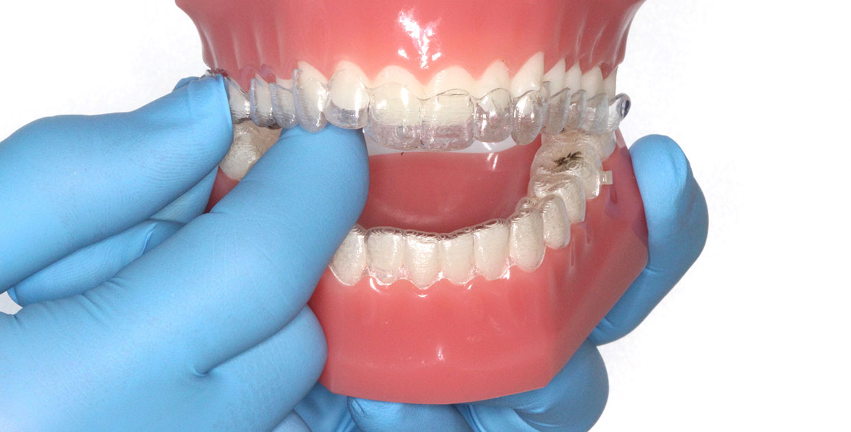
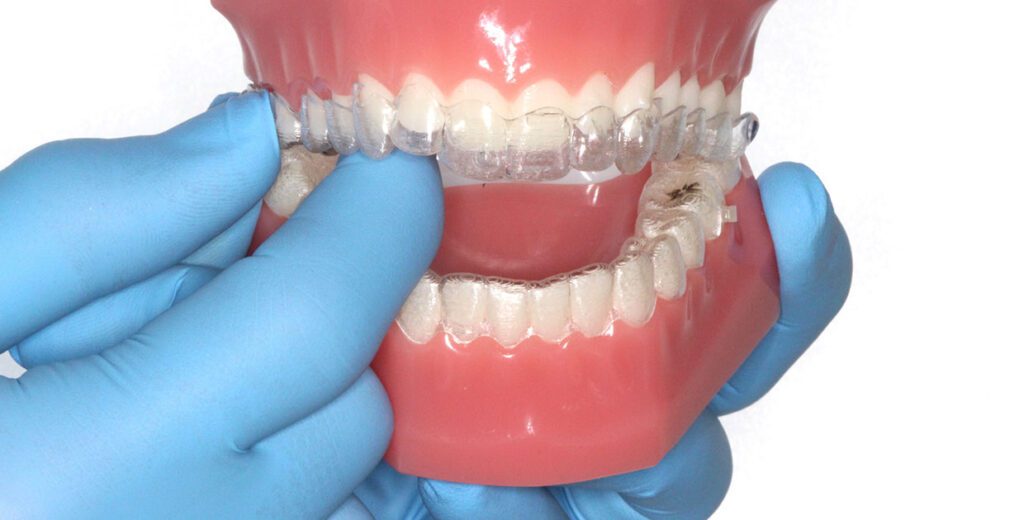
Gracias a la tecnología, ahora es posible tener una sonrisa perfecta, en menos tiempo y con un sistema prácticamente invisible y sin dolor, mientras el problema de los dientes se va resolviendo rápidamente.

Entre sus ventajas destacan confort y estética, porque se pueden remover para comer y lavarse los dientes.

Se trata de “Ortodoncia Invisible”, uno de los tratamientos de ortodoncia más novedosos del mercado; su principal ventaja con respecto al conocido sistema de braquets, es la comodidad, ya que funciona por medio de alineadores transparentes que ejercen presión sobre los dientes y no provocan alteraciones en el habla de los pacientes.

Según el especialista en ortodoncia, Víctor Arguedas Sánchez, los alienadores se utilizan durante las 24 horas y se retiran a la hora de comer. Estos se fabrican de manera específica para cada paciente, porque se diseñan a través de imágenes digitales en tres dimensiones, las cuales permiten ver con antelación como será el resultado y el aspecto final del paciente.

“Es una técnica muy sencilla. Primero se realiza un escaneo de los dientes del paciente, el cual se ingresa a un software especializado y éste hace la simulación del movimiento de los dientes hasta dejarlos completamente alineados. Esta simulación se envía al ortodoncista, quien a su vez aprobará o solicitará los cambios que considere necesarios”, señaló Arguedas.

De acuerdo con Arguedas, el tratamiento es aplicado -en su mayoría- en adultos, pero también existen opciones similares para niños para corregir los problemas odontológicos desde tempranas edades y menos invasivo.

Los alineadores se cambian periódicamente, según las indicaciones del ortodoncista, esto permitirá que los dientes se muevan progresivamente. Un aumento en la frecuencia de cambio en los alineadores podría reducir el tiempo de tratamiento.

Etiquetas: dientes de los pacientes / ortodoncia invisible / resultados en menos tiempo / sistema de braquets / sonrisa perfecta / Víctor Arguedas Sánchez

Recomendaciones sobre este tema

Ortodoncia invisible para una sonrisa estética y sana toma mucha fuerza en Costa Rica

Ortodoncia invisible para una sonrisa estética y sana toma mucha fuerza en Costa Rica

Tener dientes torcidos da pie a diferentes problemas de salud y genera inseguridades en muchas personas.